A 33-year-old presents with a two year history of poor vision. Vision is 20/50 and 20/40. Why do they have visual loss?

Analysis
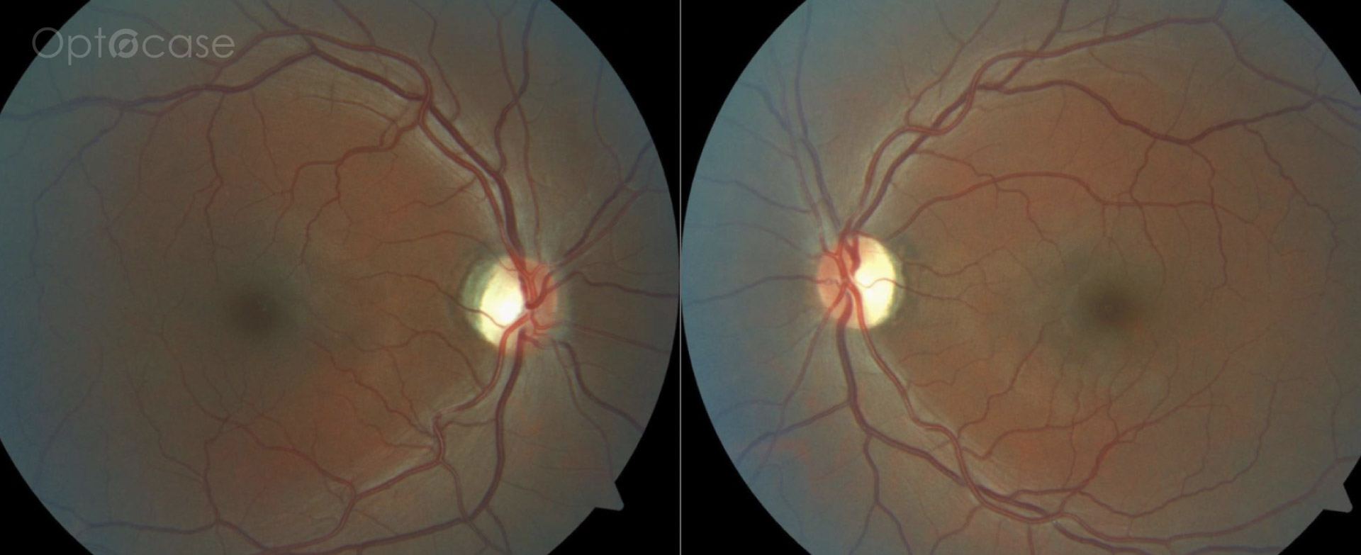
There is bitemporal optic pallor. In addition there is loss of the temporal retinal sheen bilaterally (visible on the right between 7 and 11 o'clock). On visual fields there is central field loss; the foveal threshold is reduced bilaterally (see video).
The patient was diagnosed with bilateral optic neuropathy (secondary to autosomal dominant optic atrophy).
In this 5-minute video from Dr. Paul Freund, you will review:
- A possible cause of optic neuropathy
- How bilateral symmetric optic neuropathy presents, and
- How to diagnose and treat a patient with bilateral symmetric optic neuropathy

Neuro Coach Tip
In a patient with bilateral symmetric optic neuropathy, consider the possibility of inherited and nutritional deficiencies.
Not receiving our tips yet? Subscribe to receive them straight to your inbox.