
Issue 14
New Onset Horizontal and Vertical Diplopia

Issue 13
Double Vision While Watching Tennis

Issue 12
Patient with New Onset Double Vision

Issue 11
Exophoria Without Diplopia

Issue 10
Blurred Disc Margins OU

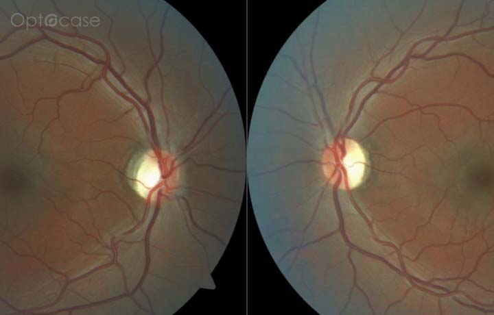
Issue 9
49-year-old with an RAPD

Issue 3
Elevated BMI and Headaches

Issue 8
Difficulty reading and eye feels "off"

Issue 7
Right ptosis and slight hypotropia

Issue 6
Torsional Nystagmus