A 44-year-old was referred for OCT changes of the optic nerve. What is your diagnosis?

Analysis
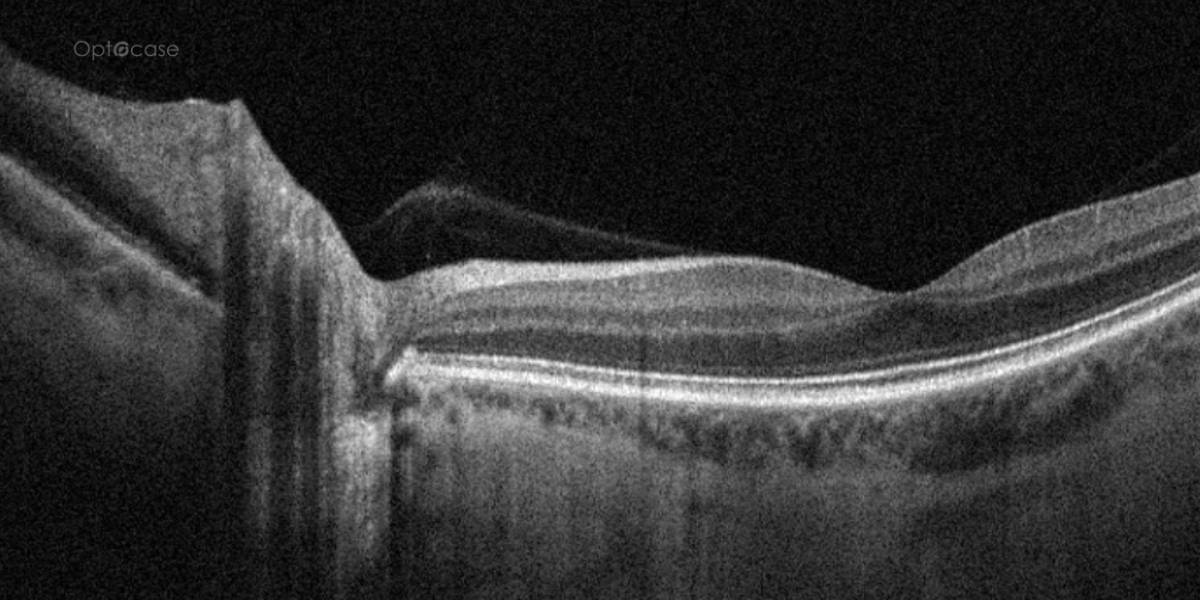
There is some loss of hyperreflectivity in the optic nerve. Additionally, there is a thin membrane present over the optic nerve. This area corresponded to a pigmented lesion of the temporal optic nerve (video).
The patient was diagnosed with an optic pit.
In this tip's accompanying 5 min. video, we'll learn:
- Review the cause of macular retinal detachment
- You will learn how optic pit is treated
- Review the pathogenesis of optic pit

OCT Tip
In any patient with a focal macular retinal detachment, consider the possibility of optic pit.
Not receiving our tips yet? Subscribe to receive them straight to your inbox.